- Trang chủ | Kiến Thức Nha Khoa
Kiến Thức Nha Khoa

Thời điểm tốt nhất để lên kế hoạch trồng răng
Khi bị mất răng lâu ngày, bệnh nhân thường có xu hướng sử dụng những răng còn lại để ăn nhai. Điều này có thể làm cho những răng còn lại bị quá tải, bị mòn và bị hư hỏng trong thời gian ngắn.

Một số trường hợp chỉnh nha bằng Invisalign
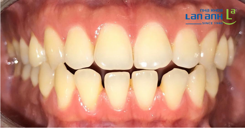
Ở những trường hợp răng hở, đóng khe hở thì dễ, nhưng để kéo răng cửa vào đúng vị trí để không bị cụp, không bị chìa, lại là chuyện khó...

Cạo vôi răng không phải thủ thuật đơn giản
Thường thì nghỉ dịch lâu quá, bộ răng cũng cần phải được chăm sóc lại hợp lý! Cạo vôi răng hoàn toàn không phải là thủ thuật đơn giản mà "đưa ai làm cũng được", vì cây cạo vôi rất cứng, dễ làm xước bề mặt men răng nếu sử dụng không đúng kỹ thuật.

Răng thưa nên làm răng sứ hay niềng răng?
Răng thưa ngoài ảnh hưởng thẩm mỹ, phát âm, thường cũng làm răng bị yếu đi nếu chịu lực nhai, lực cắn mạnh. Khi các răng tiếp xúc tốt, sẽ "dựa vào nhau", nên lực nhai sẽ mạnh lên.

Khi nào thì răng chữa tủy có thể trám lại mà không cần bọc sứ?
Ở một số trường hợp, răng không bị sâu nhiều, cấu trúc răng còn vững chắc, các thành và bề mặt răng còn nguyên vẹn, thì răng vẫn còn chịu lực tốt, bác sĩ có thể chỉ cần trám lại một cách đơn giản là được.

Thêm 1 răng sâu lớn bể vỡ được bọc lại để “gia cố” tại nha khoa Lan Anh
Răng chữa tuỷ, răng sâu lớn thường có cấu trúc bị “rỗng ruột” ở trong lòng thân răng. Điều này làm cho răng bị yếu đi nhiều, đặc biệt là khi chịu lực nhai hay cắn.

Tẩy trắng răng bằng hệ thống Zoom, đưa màu răng từ A3 lên màu B1 chỉ trong 60 phút
Nếu bạn là người "trong ngành", bạn sẽ biết: Màu răng A3 là màu răng trung bình của người bình thường, chưa tẩy trắng, hoặc hơi sậm một chút.