- Trang chủ | Kiến Thức Nha Khoa
Kiến Thức Nha Khoa

Răng cửa bị mẻ có thể trám thẩm mỹ thay vì bọc sứ được không?
Dĩ nhiên là được, nếu bác sĩ của bạn hiểu rõ cấu trúc răng, vật liệu trám răng và thật sự "có tâm"! Trám răng thẩm mỹ phù hợp với trường hợp răng bị mẻ ít, không chịu lực nhiều khi ăn nhai.

Giải pháp phù hợp khi mất răng nhiều
Khi bạn bị mất răng nhiều, tạo khoảng trống lớn, thì giải pháp phù hợp là cấy ghép Implant.
Khi nào cần phải cạo vôi răng?
Câu trả lời chính xác nhất: khi nào có vôi răng thì đi gặp bác sĩ để lấy vôi răng! Cạo vôi răng khi không cần thiết (không có vôi răng), sẽ làm bề mặt răng bị nhám, có thể bị trầy xước, đặc biệt là khi "người cạo vôi" không phải là bác sĩ, không hiểu về cấu trúc răng.
Xử lý thế nào khi răng bị mòn nhiều?
Ở những trường hợp này, không thể trám thông thường được, vì toàn bộ bề mặt răng đã bị mòn và lộ ngà răng, gây ê buốt, đặc biệt khi nhậu với bia lạnh hay ăn đồ ăn dai, cứng như khô mực, khô bò.
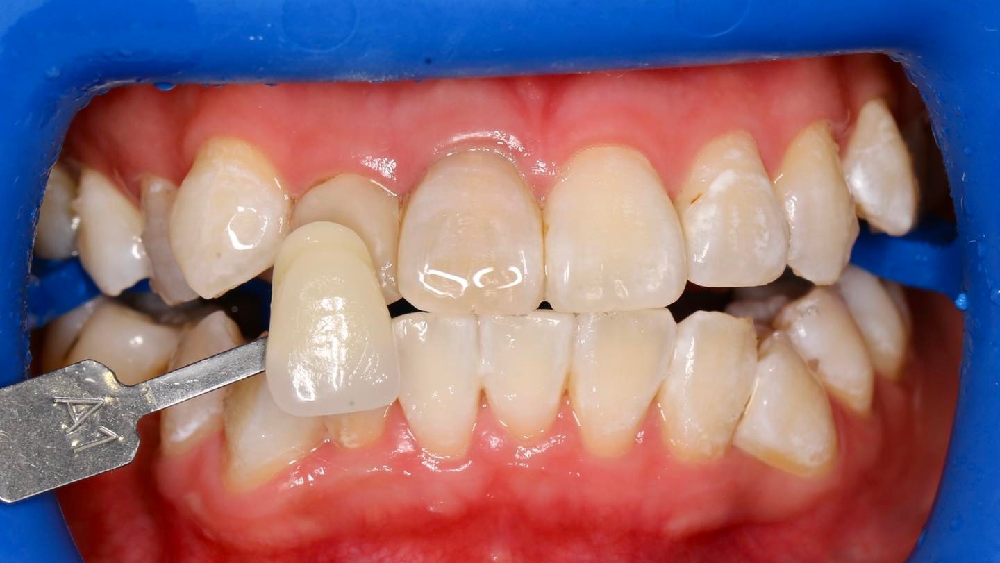
Chọn màu thỏi sứ cho phục hồi răng bị bể vỡ
Trong trường hợp này, phần răng bị bể vẫn “thấy thấp thoáng” khi cười lớn, nên chọn màu trắng sẽ đáp ứng cả 2 mục tiêu: phục hồi răng bể và thẩm mỹ nụ cười.
Răng sứ trắng hơn so với răng thật thì nên làm gì?
Làm răng sứ mới thì tốn kém mà không lẽ lại để răng bị sậm màu? Tẩy trắng răng thật còn lại là giải pháp chính xác, đơn giản và hiệu quả.
Tẩy trắng răng bằng hệ thống Zoom
Tẩy trắng răng bằng hệ thống Zoom tại nha khoa Lan Anh chi nhánh Sala, do bác sĩ Trường điều trị.


