Công ty TNHH Nha Khoa Lan Anh

Đặt lịch hẹn

  • Răng sứ có bị
  • Ưu điểm của trồng răng bằng hàm tháo lắp
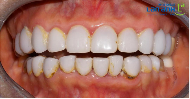
  • Một trường hợp phục hình răng sứ 2 hàm để ăn nhai và cải thiện thẩm mỹ
  • Làm răng sứ có bị đục hay nhìn
  • Có nên niềng răng, nhổ răng trước Tết không?
    • Có nên niềng răng, nhổ răng trước Tết không?

      Giới bác sĩ chúng tôi thường bảo nhau: đừng có dại mà gắn mắc cài, nhổ răng trước Tết, nếu muốn được ăn Tết bình yên. Trong niềng răng, giai đoạn khó khăn nhất luôn là những ngày đầu tiên sau khi gắn niềng: ăn uống khó khăn, dây cung dài đâm rách môi má lưỡi, sút mắc cài,… có thể ảnh hưởng đến mức trầm trọng và bệnh nhân không thể ăn được.

      Xem chi tiết

  • Phục hồi răng bằng Inlay sứ EMAX
  • Răng sứ có đổi màu sau một thời gian dài sử dụng không?
  • Thống kê truy cập

      Số lượt đang online: 42

      Số lượt truy cập: 6.412.627