Công ty TNHH Nha Khoa Lan Anh

Đặt lịch hẹn

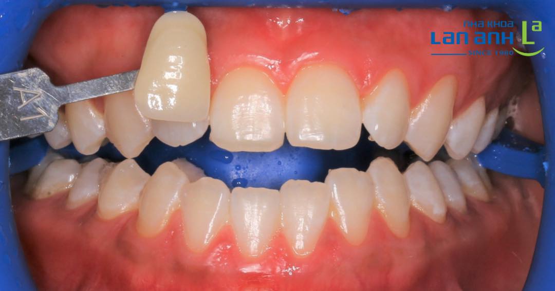
  • Đi thật xa rồi cũng quay trở về để làm răng sứ
  • Nhẹ nhàng tẩy trắng răng chỉ sau 90 phút
  • Độ bền của Implant phụ thuộc vào yếu tố nào?
  • Răng trắng đẹp tự nhiên nhờ tẩy trắng
  • Dụng cụ làm răng
  • Nét đẹp tự nhiên của Veneer
  • Vì sao tẩy trắng răng tại nha khoa lại hiệu quả hơn tự tẩy tại nhà?
  • Thống kê truy cập

      Số lượt đang online: 41

      Số lượt truy cập: 6.412.626