
Điều gì giúp trồng răng implant thành công?
Răng implant chỉ vững chắc khi có xương bao quanh. Muốn có xương bao quanh chân răng tốt thì cần các điều kiện sau.

Tôi muốn hỏi giá làm răng sứ Zirconia và giá làm răng sứ Cerec. Với 2 loại răng sứ này thì răng sứ nào tốt hơn?
Giá làm răng sứ Zirconia hiện nay tại nha khoa Lan Anh là 4.500.000đ/ răng và răng sứ Cerec là 6.000.000đ/răng. 2 loại răng sứ này đều được làm bằng công nghệ CAD/CAM nên độ chính xác rất cao.

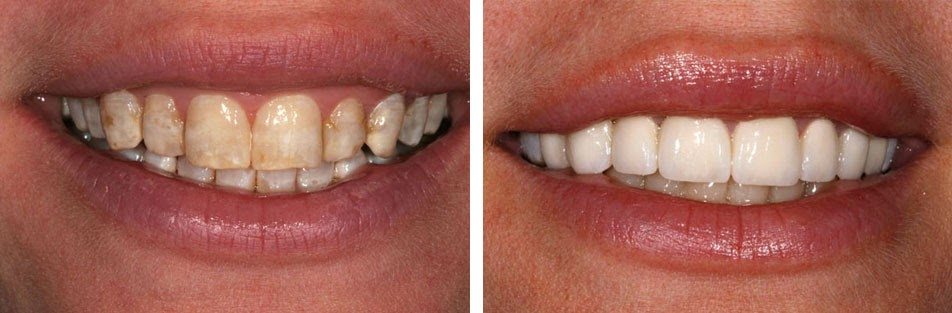
Tôi muốn làm răng sứ thẩm mỹ thì có thể khắc phục cười hở lợi luôn không?
Tôi bị cười hở lợi khá nhiều và răng sậm màu. Tôi muốn làm răng sứ thẩm mỹ thì có thể khắc phục cười hở lợi luôn không?

Chỉnh nha phải nhổ nhiều răng, vậy có ảnh hưởng sức khỏe của răng không?
Trên thực tế, không có bác sĩ chỉnh nha nào muốn nhổ răng của bệnh nhân, trừ khi thật sự cần thiết. Tuy nhiên, xét về lâu dài, một hàm răng có khớp cắn tốt vẫn tốt hơn một hàm răng “có nhiều răng” nhưng tiếp xúc giữa các răng không tốt.

Màu sắc, thẩm mỹ của răng sứ Cerec như thế nào?
Hệ thống máy CEREC có khả năng sử dụng nhiều loại vật liệu sứ khác nhau, từ Emax, Vita, Zirconia, CERCON HT cho đến các loại sứ Hybrid mới nhất ngày nay như Enamic, Celtra Duo,… Do đó, bác sĩ và kỹ thuật viên có rất nhiều lựa chọn màu sắc phù hợp với từng khách hàng, từng độ tuổi, sở thích, cá tính…

Tẩy trắng có thể làm răng tôi trắng sáng trở lại được không?
Với trường hợp răng nhiễm màu do các yếu tố bên ngoài như thuốc lá, cà phê, thực phẩm, hóa chất.... thì việc tẩy trăng có thể mang đến kết quả rất tốt. Tại nha khoa Lan Anh có trang bị hệ thống tẩy trắng bằng đèn Zoom- đây là công nghệ tẩy trắng hiện đại nhất hiện nay và công nghệ tẩy trắng bằng đèn chiếu Luma Cool sẽ cho kết quả tẩy trắng cao.

Răng sậm màu do kháng sinh, tẩy trắng răng bằng đèn Zoom có trắng được không?
Làm trắng rằng bằng đèn Zoom là phương pháp làm trắng cho kết quả tốt nhất hiện nay. Tuy nhiên thuốc tẩy có tác động hạn chế đối với những chất sậm màu tác động từ bên trong như nhiễm màu do sử dụng kháng sinh. Do đặc điểm của kháng sinh tác động tới mỗi người là khác nhau, nên kết quả cũng có sự chênh lệch khác nhau giữa các trường hợp.



