Hỏi: Tôi muốn hỏi giá làm răng sứ Zirconia và răng sứ Cerec. Với 2 loại răng sứ này thì răng sứ nào tốt hơn?
Giá làm răng sứ Zirconia hiện nay tại nha khoa Lan Anh là 4.500.000đ/ răng và răng sứ Cerec là 6.000.000đ/răng. 2 loại răng sứ này đều được làm bằng công nghệ CAD/CAM nên độ chính xác rất cao.
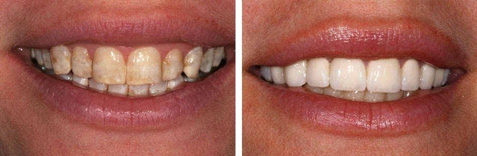
Răng sứ Zirconia: là răng sứ có sườn Zirconia. Đây là vật liệu có màu trắng nên sẽ không gây đổi màu răng sứ và có độ bền cao. Răng sứ Zirconia được làm bằng công nghệ CAD/CAM cho độ chính xác cao và giá răng sứ là 4.500.000đ
Răng sứ Zirconia được làm tại nha khoa Lan Anh
Răng sứ CEREC: CEREC là tên của hệ thống CAD/CAM mới nhất hiện nay. Hệ thống CEREC sử dụng được đa dạng các vật liệu sứ với thẩm mỹ cao và ưu điểm là có răng nhanh nhất trong tất cả các loại phục hình sứ. Những trường hợp gấp có thể có răng sứ ngay trong ngày nếu làm dưới 4 răng. Với răng sứ CEREC, bác sĩ có thể sử dụng được đa dạng vật liệu sứ để phù hợp với từng trường hợp cụ thể của từng bệnh nhân nên sẽ cho ra những chiếc răng sứ đẹp nhất.
Răng sứ CEREC được thực hiện tại nha khoa Lan Anh
Số lượt đang online: 243
Số lượt truy cập: 6.412.475
Bài viết liên quan

Răng nào quan trọng nhất trên hàm răng của bạn?
Răng nào quan trọng nhất trên hàm răng của bạn?

Đánh răng thế nào để tránh sâu răng?
Em bị sâu răng mặc dù em thường xuyên đánh răng, vậy làm cách nào để chữa trị một cách hiệu quả nhất? (N.T.C.)

Điều trị răng bị nhiễm flour như thế nào?
Răng em rất đều tuy nhiên không được trắng mà còn bị vàng răng ở phần dưới, tình trạng của em giống như răng bị nhiễm fluor, em muốn hỏi tình trạng của em bây giờ phải điều trị bằng cách nào và chi phí điều trị là bao nhiêu.

Chỉnh nha - niềng răng invisalign có thể điều trị những trường hợp phức tạp không?
Ở thời điểm hiện tại thì Invisalign đã phát triển lên đến thế hệ thứ 4 cùng với những cải tiến vượt bậc giúp đem lại khả năng di chuyển răng ở những vị trí khó hơn mà vẫn đảm bảo được một kết quả tốt.

Răng sứ loại nào tốt
Nếu bạn có nhu cầu thẩm mỹ cao thì nên làm răng toàn sứ và nếu bạn muốn tiết kiệm chi phí thì có thể làm răng sứ kim loại.

Khi đặt Implant, bạn cần chú ý những điều gì?
Cấy ghép implant là một giải pháp phục hình răng mất rất được quan tâm hiện nay. Khi cấy ghép implant thành công, chiếc răng mất của bạn sẽ phục hồi lại gần như 80%.

Nha khoa có thể cho em biết rõ hơn chỉnh nha Invisalign là gì không?
Chỉnh nha Invisalign là chỉnh nha không mắc cài. Với cách chỉnh nha này, bệnh nhân chỉ việc đeo khay chỉnh nha trong suốt theo đúng chỉ dẫn của bác sĩ sẽ cho ra kết quả mong muốn. Việc đeo khay phải có sự hỗ trợ theo dõi của bác sĩ và bệnh nhân phải tuân thủ tốt thì mới cho kết quả tốt.