
Làm răng sứ nhanh nhất
Nha Khoa Lan Anh hiện có công nghệ CEREC có thể hoàn thành ngay trong ngày. Đây là công nghệ mới nhất và thẩm mỹ nhất trên thế giới hiện nay. Công nghệ CEREC được thực hiện bởi chính bác sĩ và kỹ thuật viên có tay nghề cao nên sẽ cho bạn chiếc răng hoàn hảo nhất.

Răng sứ loại nào tốt
Nếu bạn có nhu cầu thẩm mỹ cao thì nên làm răng toàn sứ và nếu bạn muốn tiết kiệm chi phí thì có thể làm răng sứ kim loại.

Đánh răng thế nào để tránh sâu răng?
Em bị sâu răng mặc dù em thường xuyên đánh răng, vậy làm cách nào để chữa trị một cách hiệu quả nhất? (N.T.C.)

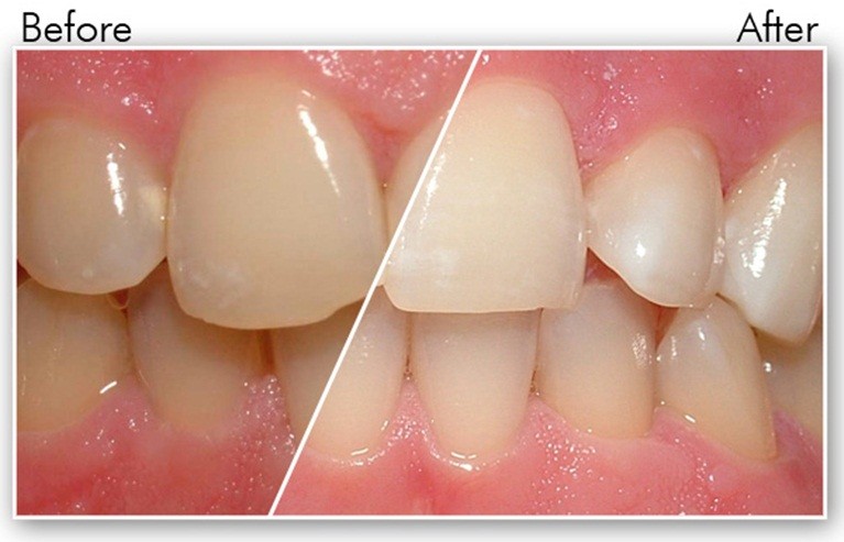
Điều trị răng bị nhiễm flour như thế nào?
Răng em rất đều tuy nhiên không được trắng mà còn bị vàng răng ở phần dưới, tình trạng của em giống như răng bị nhiễm fluor, em muốn hỏi tình trạng của em bây giờ phải điều trị bằng cách nào và chi phí điều trị là bao nhiêu.

Làm sao để chữa hôi miệng?
85% hôi miệng có nguồn gốc từ khoang miệng. Có rất nhiều yếu tố dẫn đến hôi miệng: viêm nướu, sâu răng, mang hàm giả lâu năm, khô miệng,...

Chỉnh răng em bé có cần nhổ răng không?
Bé nhà tôi sinh năm 2003, răng hàm trên cua bé có 2 răng cửa rất to và hô, 2 răng nanh thì khểnh, có thể chỉnh răng mà không nhổ răng được không? Chỉnh răng theo phương pháp nào thuận lợi cho bé nhất? (N.T.D.)

Răng vàng ố và ê buốt khi uống nước đá
Dạo này không hiều sao răng tôi tự nhiên vàng,ố và hơi ê buốt mỗi khi uống nước đá. Tôi rất mong nhận được lời tư vấn của Nha khoa Lan Anh. (K.H.)



