
Răng em bị nhiễm thuốc kháng sinh tetracyline nặng thì có làm Veneer được không?
Với công nghệ CEREC được trang bị tại Nha khoa Lan Anh vẫn có thể làm được veneer thẩm mỹ rất tốt cho trường hợp răng sậm màu nặng. Tuy nhiên những trường hợp này có thể phải kết hợp tẩy trắng răng bằng đèn Zoom trước khi làm Veneer và đòi hỏi bác sĩ cùng kỹ thuật viên phải có mắt thẩm mỹ cao, tay nghề khéo léo, vì màu răng sậm màu nếu không xử lý tốt có thể bị ánh lên qua màu răng sứ.

Chỉnh nha - niềng răng invisalign có thể điều trị những trường hợp phức tạp không?
Ở thời điểm hiện tại thì Invisalign đã phát triển lên đến thế hệ thứ 4 cùng với những cải tiến vượt bậc giúp đem lại khả năng di chuyển răng ở những vị trí khó hơn mà vẫn đảm bảo được một kết quả tốt.

Nha khoa có thể cho em biết rõ hơn chỉnh nha Invisalign là gì không?
Chỉnh nha Invisalign là chỉnh nha không mắc cài. Với cách chỉnh nha này, bệnh nhân chỉ việc đeo khay chỉnh nha trong suốt theo đúng chỉ dẫn của bác sĩ sẽ cho ra kết quả mong muốn. Việc đeo khay phải có sự hỗ trợ theo dõi của bác sĩ và bệnh nhân phải tuân thủ tốt thì mới cho kết quả tốt.

Khi nào thích hợp để cấy ghép implant?
Thời điểm thích hợp nhất là cấy ghép implant càng sớm càng tốt sau khi mất răng vì lúc đó xương hàm còn nhiều giúp implant vững chắc hơn. Tốt hơn nữa là bạn nên có kế hoạch sớm trước khi nhổ răng.

Làm răng implant ở đâu tốt?
Tôi hiện ở nước ngoài và bị mất răng hàm khoảng 15 năm rồi, các răng cửa đang bắt đầu thấy xô lệch nhiều nên muốn trồng lại răng hàm bị mất. Nhưng không biết làm răng implant ở đâu tốt.

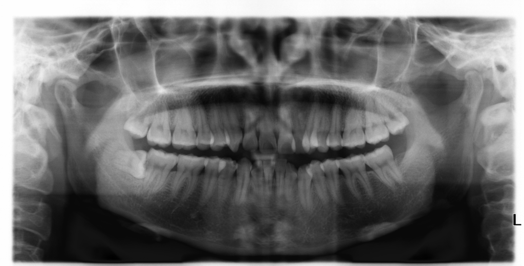
Khi nào nên nhổ răng khôn?
Em năm nay 23 tuổi, vừa rồi có đến phòng khám nha khoa để chụp phim xquang toàn cảnh và bác sĩ yêu cầu em nhổ 2 răng khôn mọc lệch. Nhưng hiện nay em thấy răng khôn không gây ảnh hưởng gì đến sinh hoạt cá nhân nên em không nhổ có được không?

Trồng implant mất bao lâu?
Tôi mất răng và muốn làm implant nhưng không có nhiều thời gian nên muốn biết quy trình làm implant để sắp xếp thời gian.



