- Trang chủ | Kiến Thức Nha Khoa
Kiến Thức Nha Khoa

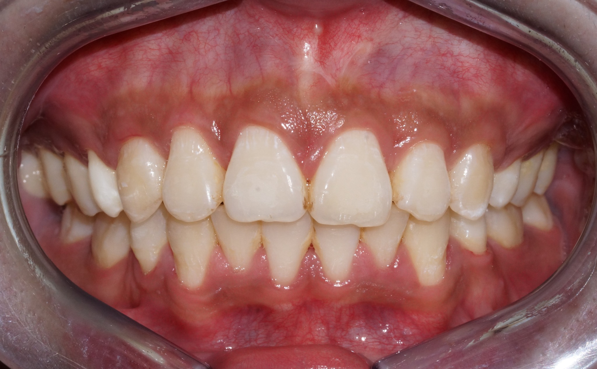
Răng sứ có nhất thiết phải trắng mới đẹp?
Không phải lúc nào làm răng sứ cũng phải "trắng" mới đẹp. Có những nét đẹp tự nhiên, sẽ hài hòa với nụ cười của bạn hơn.

Phối hợp tốt để kết quả niềng răng đẹp
Thường thì những ca niềng đẹp yêu cầu một sự thăm khám kỹ càng, bác sĩ giỏi và có tâm với bệnh nhân, cũng như sự hợp tác tốt, đồng cảm và phối hợp tốt với bác sĩ điều trị.

Hình ảnh thực tế niềng răng Invisalign
Bạn có biết? Bác sĩ chỉnh nha tại nha khoa Lan Anh, luôn thiết kế khay niềng Invisalign bằng tay (manual design), để tạo ra kết quả tốt nhất, phù hợp nhất với mỗi bệnh nhân!

Chuyển nơi điều trị chỉnh nha có khả thi không?
Nhiều bạn thắc mắc là đang niềng ở nơi khác mà chuyển nơi ở, chuyển nơi làm việc có thể chuyển qua nha khoa Lan Anh để điều trị tiếp không?

Phục hình theo phong cách tự nhiên
Nếu bạn không có thời gian để niềng răng, bạn cũng có thể cân nhắc chỉnh sửa bằng phục hình sứ thẩm mỹ.

Làm răng sứ cần chú ý những gì?
Nếu lỡ răng bạn có bị “tan tành”, thì cũng từ từ bình tĩnh, đánh giá kỹ chân răng. Nếu chân răng còn tốt, vững chắc, bạn hoàn toàn có thể làm răng sứ trên đó.

Đặt implant sao cho lành thương nhanh chóng?
Khi Implant được đặt đúng vị trí, đúng kích thước, đúng kỹ thuật, bệnh nhân sẽ rất ít đau, và lành thương nhanh chóng!