- Trang chủ | Kiến Thức Nha Khoa | Răng sứ
Răng sứ

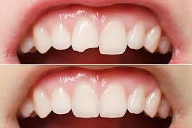
Răng sứ bị mẻ – Nguyên nhân, cách phòng ngừa và khắc phục.
Răng sứ được nghiên cứu làm từ chất liệu sao cho tương tự với răng thật. Vì vậy, nếu răng thật có thể mẻ thì răng sứ cũng có thể bị mẻ. Răng sứ bị mẻ do nguyên nhân nào? Phòng ngừa răng sứ bị mẻ ra sao?

Hệ thống CAD/CAM Sirona MC XL Inlab tại nha khoa Lan Anh!
Hiện nay, đối với phục hình răng sứ Zirconia và các loại phục hình toàn sứ CAD/CAM khác như Empress CAD, e.max CAD, Nha Khoa Lan Anh có thể hoàn thành chỉ trong vòng 12-24 giờ, đem lại sự thuận tiện tối đa cho bạn, đặc biệt nếu bạn ở xa và không có nhiều thời gian.

Làm răng toàn sứ bằng máy tính
Răng sứ làm bằng máy tính (kỹ thuật CAD/CAM) là một kỹ thuật mới tiến bộ vượt bậc. CAD/CAM được viết tắt từ computer aided design / computer aided manufacturing, tức là kỹ thuật thiết kế và sản xuất thông qua sự trợ giúp của máy vi tính.

Toàn sứ Cerec CAD – CAM có răng ngay trong ngày!
Tại Nha khoa Lan Anh, các Bác sĩ Chuyên Nha Khoa Răng Thẩm Mỹ và Đội ngũ Kỹ Thuật Viên trên 10 năm kinh nghiệm, từng làm trực tiếp – thành công hàng ngàn ca sẽ thực hiện điều trị cho bạn.

Trong thời gian làm răng, tôi có thể đi giao tiếp được không?
Đối với việc điều trị răng sậm màu, trong thời gian làm răng (thông thường từ 5 – 10 ngày) Nha khoa Lan Anh sẽ làm cho Bạn một hàm răng tạm bằng nhựa

Các dạng điều chỉnh răng để phục hình răng giả
Để đảm bảo phục hình mới được thẩm mỹ, ăn nhai tốt và lâu dài… thì việc chuẩn bị phục hình – điều chỉnh cùi răng – đúng kỹ thuật rất quan trọng.

Mão răng – Cầu răng sứ kim loại
Gọi là sứ kim loại bởi vì bên trong có lớp sườn kim loại dày từ 0.3mm trở lên, bao bọc bên ngoài bởi nhiều lớp sứ thẩm mỹ đẹp tự nhiên được nung nhiều lần dưới nhiệt độ cao hơn 850 độ C.