- Trang chủ | Kiến Thức Nha Khoa | Răng sứ
Răng sứ

Những câu hỏi thường gặp về răng sứ Cerec/Inlab tại Nha Khoa Lan Anh
Răng sứ CAD/CAM sử dụng công nghệ CEREC / inLab tại nha khoa Lan Anh do chính đội ngũ bác sĩ, cử nhân phục hình răng và kỹ thuật viên nhiều kiến thức, kinh nghiệm trực tiếp thiết kế và thực hiện. Thiết kế chuẩn xác, vật liệu cao cấp, đa dạng phù hợp với từng trường hợp giúp cho từng chiếc răng sứ CEREC / inLab tại nha khoa Lan Anh được sản xuất với độ chính xác cao, độ bền lâu dài.

Đặc điểm phục hình răng sứ MCX5 và MCXL
Răng sứ làm bằng hệ thống MCX5 và MCXL có thể đáp ứng nhu cầu của từng bệnh nhân trong nhiều trường hợp khác nhau: răng sứ có độ mỏng tối đa (bảo tồn răng thật), thẩm mỹ cao, độ cứng bền vượt trội, v.v... Điều quan trọng là bác sĩ cần phải chọn được vật liệu phù hợp nhất cho từng trường hợp.

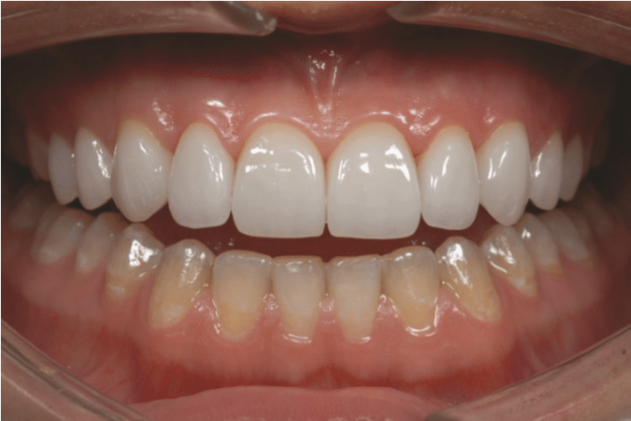
Hình ảnh thực tế một số trường hợp điều trị bằng hệ thống Cerec
Điều trị bằng hệ thống CEREC giúp bệnh nhân có răng một cách nhanh chóng, thông thường trong 1-2 ngày. Tuy vậy, điều quan trọng nhất, đó là răng sứ có kết quả thẩm mỹ và độ bền rất tốt.

Hình ảnh một số trường hợp điều trị CEREC trong ngày bằng Veneer sứ tại nha khoa Lan Anh
Với hệ thống CEREC, bác sĩ tại nha khoa Lan Anh có thể hoàn thành răng sứ trong khoảng 3 giờ. Nhanh và gọn, đồng thời kết quả điều trị đạt được là khá tốt.

Quy trình làm răng sứ bằng máy CEREC tại nha khoa Lan Anh
Nếu bạn có nhu cầu làm răng sứ nhanh trong ngày, hoặc trong một thời gian ngắn với độ thẩm mỹ cao, chính xác, hãy tìm hiểu về hệ thống CEREC được trang bị tại nha khoa Lan Anh nhé.

Mặt dán Veneer sứ – Phục hình thẩm mỹ bảo tồn răng thật
Veneer, hay còn gọi là Laminate sứ (tại Việt Nam cũng có nơi gọi là mặt dán sứ), là kỹ thuật phục hình thẩm mỹ bảo tồn răng thật khá phổ biến tại Mỹ và Châu Âu. Tuy vậy, do độ phức tạp về mặt kỹ thuật và yêu cầu trình độ cao đối với cả bác sĩ và kỹ thuật viên nha khoa, nên tại Việt Nam, kỹ thuật này vẫn chưa được phổ biến rộng rãi.

Những điều cần biết khi làm răng giả
Tại Việt Nam, tỷ lệ muốn làm răng giả khá cao. Chúng ta làm răng giả để phục hồi lại răng đã mất hay chỉnh sửa về thẩm mỹ những chiếc răng bị khiếm khuyết.