- Trang chủ | Kiến Thức Nha Khoa | Những ca điều trị thực tế
Những ca điều trị thực tế

Răng trắng đẹp tự nhiên nhờ tẩy trắng
Nếu bạn muốn răng trắng sáng hơn, nhưng vẫn giữ nét đẹp tự nhiên, thì có thể tẩy trắng răng. Đơn giản, nhẹ nhàng trong vòng 60 phút, nhưng kết quả vẫn đủ để bạn hài lòng !

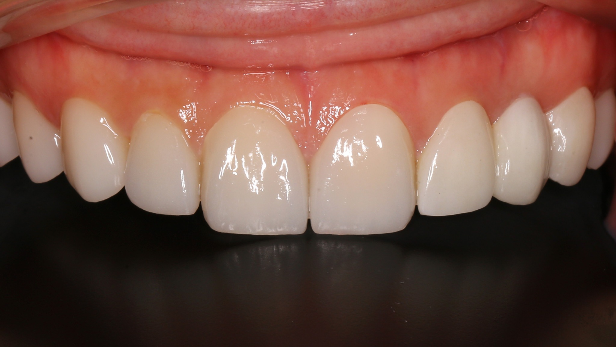
Nét đẹp tự nhiên của Veneer
Nhiều người làm Veneer, không phải vì thích vẻ ngoài "bóng bẩy", mà chỉ muốn nét đẹp tự nhiên.

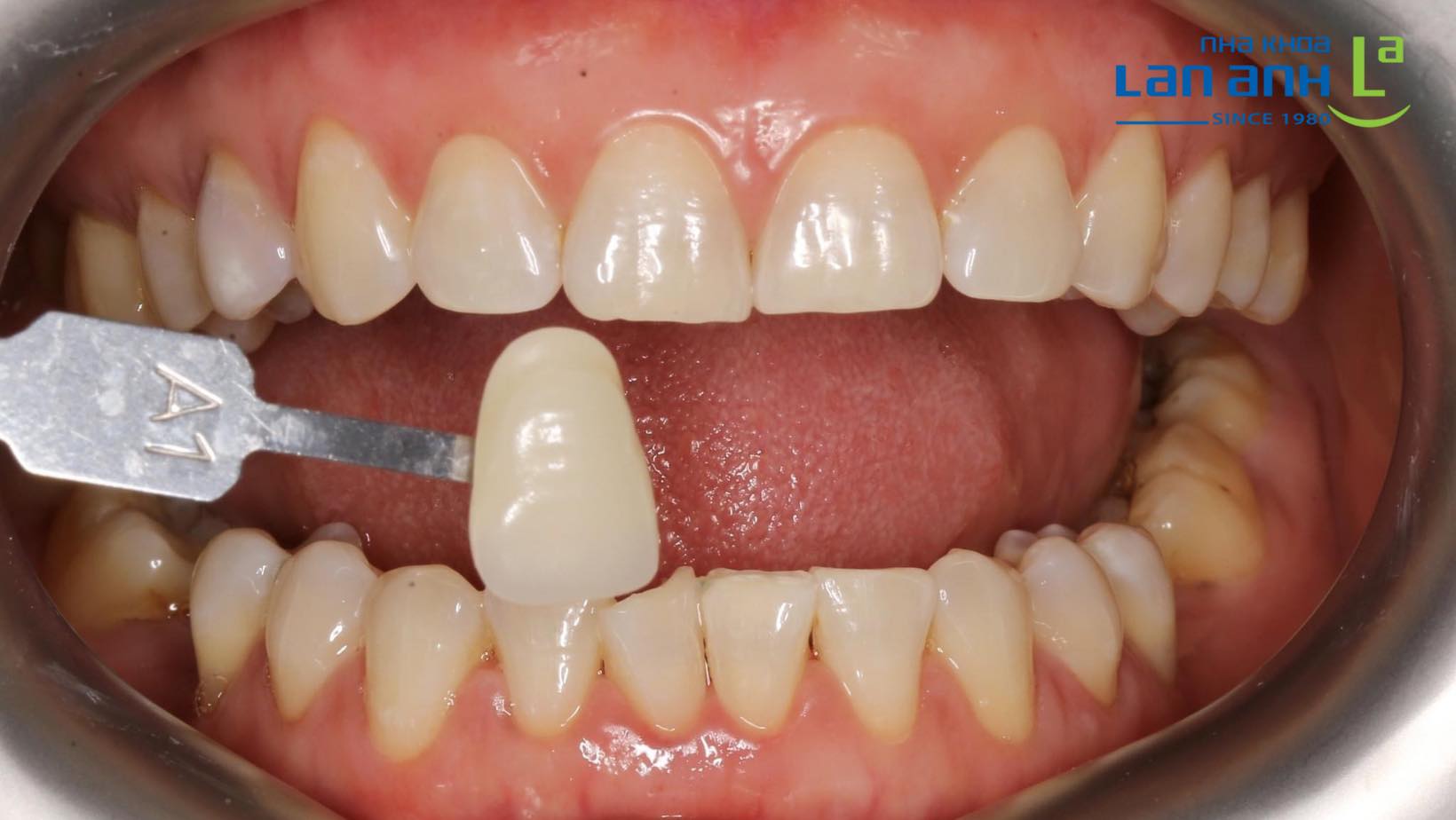
Veneer sứ như thế nào là "đạt chuẩn" và khít sát?
Khi bạn làm Veneer hay mặt dán sứ thì cần hiểu rõ cấu trúc răng, tương quan kích thước phù hợp đạt "chuẩn", mới có thể ra được một kết quả tốt và hài lòng.

Trám răng ở trẻ em cần lưu ý về những vấn đề gì?
Trẻ em ăn nhai thường theo ý thích, và trong đó có những thức ăn khá cứng, đòi hỏi răng phải được tái tạo vững chắc. Ngoài ra, nếu đó là răng vĩnh viễn, bạn sẽ muốn chiếc răng đó trám sao cho thật bền, thật tốt để giữ được lâu dài.

Góc nhìn cận cảnh răng sứ
Ở một góc nhìn thật sự cận cảnh, chụp bằng máy ảnh Macro Full Frame, bạn mới có thể thấy được chất lượng của một chiếc răng sứ.

Niềng răng bằng mắc cài tự khóa Smart Clip 3M
Một ca niềng có nhổ 4 răng bằng mắc cài tự khóa Smart Clip 3M, mắc cài sản xuất tại Mỹ, ở chi nhánh Sala, quận 2.

Một trường hợp phục hình răng sứ 2 hàm để ăn nhai và cải thiện thẩm mỹ
Do hàm trên mất răng nhiều, bệnh nhân lớn tuổi không phù hợp cấy ghép Implant, nên làm cầu răng sứ kim loại để chịu lực được tốt.