Tôi ở Cần Thơ. Tháng sau tôi công tác tại TPHCM, nhân tiện định làm răng sứ cho các răng cửa vì các răng cửa của tôi không được đẹp về hình dáng lẫn màu sắc. Công việc tôi khá bận rộn nên cần tìm nơi nào làm răng nhanh mà đảm bảo chất lượng, tôi được bạn giới thiệu là Nha Khoa Lan Anh có công nghệ răng sứ CEREC có thể làm nhanh và đẹp. Khi lên thành phố Hồ Chí Minh, tôi sẽ ở quận 3 thì nên đến chi nhánh nào là thuận tiện?
Chào bạn,
Làm răng sứ thẩm mỹ có 2 cách: hoặc làm mặt dán sứ veneer (chỉ phủ sứ bên ngoài) hoặc bọc răng sứ. Mỗi phương pháp có ưu và nhược điểm riêng của nó:
- Mặt dán sứ veneer: hạn chế mài răng, cải thiện được màu răng, bảo tồn được men răng thật tối đa nhưng không cải thiện được nhiều vị trí các răng lệch lạc.
- Bọc răng sứ: mài răng nhiều hơn veneer nhưng có ưu điểm hơn veneer là chỉnh sửa được răng lệch lạc nhiều hơn. Mão răng sứ có thể che phủ được màu cùi răng tốt hơn veneer sứ.
Nếu bạn muốn làm nhanh và thẩm mỹ, nha khoa xin tư vấn bạn răng sứ CEREC, đây là công nghệ làm răng mới được áp dụng tại Việt Nam giúp làm ra chiếc răng sứ nhanh nhất và thẩm mỹ nhất.

Màu sắc răng sứ CEREC tự nhiên như răng thật
Thời gian phục hình bằng răng sứ CEREC
Phục hình bằng răng sứ CEREC chỉ mất khoảng 1 - 4 ngày làm việc, nhanh hơn rất nhiều so với các loại phục hình sứ khác. Làm răng sứ Cerec bao gồm các công đoạn:
- Khám, tư vấn, làm sạch răng, trám răng nếu cần thiết.
- Chuẩn bị cùi răng bằng cách mài răng thật hoặc tháo mão răng sứ cũ nếu trước đây bạn đã bọc răng sứ.
- Lấy dấu cùi răng bằng camera omnicam. Đây là phương pháp lấy dấu trực tiếp mà không thông qua việc lấy dấu mẫu hàm như các công nghệ cũ.

Camera Omnicam lấy dấu răng công nghê mới
- Bác sĩ thiết kế răng sứ trên máy tính. - Chọn thỏi sứ phù hợp với từng khách hàng và ra lệnh cho máy cắt răng sứ. - Gắn răng sứ cho khách hàng.
Quy trình làm răng sứ CEREC rất nhanh và tiện lợi. Tuy nhiên không phải nha khoa nào cũng trang bị hệ thống CEREC để hỗ trợ phục hình vì hệ thống CEREC, đòi hỏi bác sĩ phải có tay nghề cao và mắt thẩm mỹ tốt thì mới có thể làm ra răng sứ đẹp.

Hệ thống máy CEREC làm răng sứ nhanh và chính xác
Thẩm mỹ của răng sứ CEREC
Răng sứ CEREC được làm bằng các vật liệu sứ hàng đầu thế giới như: Emax, Vita...Đây là công nghệ phục hình có thể sử dụng đa dạng vật liệu, nên chiếc răng sứ được làm ra sẽ phù hợp với từng trường hợp khác nhau.

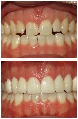
Làm răng sứ CEREC cho các răng cửa hàm trên

Làm răng sứ Cerec thẩm mỹ cho cả hai hàm
Công nghệ răng sứ CEREC có thể giúp bạn hoàn thành các răng cửa của mình trong thời gian ngắn nhất. Chiếc răng sứ được làm bằng công nghệ CEREC sẽ thẩm mỹ cao và độ chính xác gần như tuyệt đối.
Số lượt đang online: 31
Số lượt truy cập: 6.508.194
Bài viết liên quan
Khi nào nên nhổ răng khôn?
Em năm nay 23 tuổi, vừa rồi có đến phòng khám nha khoa để chụp phim xquang toàn cảnh và bác sĩ yêu cầu em nhổ 2 răng khôn mọc lệch. Nhưng hiện nay em thấy răng khôn không gây ảnh hưởng gì đến sinh hoạt cá nhân nên em không nhổ có được không?
Các phương án trồng răng cửa cố định
Tôi bị tai nạn mất một răng cửa đã 2 năm rồi và đang dùng răng tháo lắp. Nay tôi muốn trồng răng cửa cố định, nha khoa có thể tư vấn tôi nên làm như thế nào và chi phí bao nhiêu không?
Điều trị răng bị nhiễm flour như thế nào?
Răng em rất đều tuy nhiên không được trắng mà còn bị vàng răng ở phần dưới, tình trạng của em giống như răng bị nhiễm fluor, em muốn hỏi tình trạng của em bây giờ phải điều trị bằng cách nào và chi phí điều trị là bao nhiêu.
Chỉnh nha phải nhổ nhiều răng, vậy có ảnh hưởng sức khỏe của răng không?
Trên thực tế, không có bác sĩ chỉnh nha nào muốn nhổ răng của bệnh nhân, trừ khi thật sự cần thiết. Tuy nhiên, xét về lâu dài, một hàm răng có khớp cắn tốt vẫn tốt hơn một hàm răng “có nhiều răng” nhưng tiếp xúc giữa các răng không tốt.
Trồng răng sứ bắc cầu
Tôi muốn trồng răng sứ bắc cầu cho 1 răng hàm bị mất, các răng còn lại của tôi vẫn còn đủ. Cho tôi hỏi trồng răng sứ bắc cầu có an toàn không? Sử dụng lâu dài không? Trồng răng sứ bắc cầu có gây hôi miệng không?
Răng em bị nhiễm thuốc kháng sinh tetracyline nặng thì có làm Veneer được không?
Với công nghệ CEREC được trang bị tại Nha khoa Lan Anh vẫn có thể làm được veneer thẩm mỹ rất tốt cho trường hợp răng sậm màu nặng. Tuy nhiên những trường hợp này có thể phải kết hợp tẩy trắng răng bằng đèn Zoom trước khi làm Veneer và đòi hỏi bác sĩ cùng kỹ thuật viên phải có mắt thẩm mỹ cao, tay nghề khéo léo, vì màu răng sậm màu nếu không xử lý tốt có thể bị ánh lên qua màu răng sứ.
Nha Khoa Lan Anh có nhiều loại răng sứ, vậy loại nào là tốt nhất?
Nha Khoa Lan Anh có bề dày kinh nghiệm phục hình răng sứ thẩm mỹ hơn 20 năm và đã trải qua rất nhiều dòng sứ khác nhau. Đến nay, nha khoa Lan Anh đã khẳng định được thương hiệu là nha khoa uy tín trong phục hình răng sứ thẩm mỹ cao cấp tại Thành Phố Hồ Chí Minh.
Đánh răng đều nhưng vẫn bị hôi miệng phải làm sao?
Triệu chứng mà bạn miêu tả có thể là triệu chứng của bệnh Nha chu, bệnh do vi khuẩn sống trong mảng bám và vôi răng gây ra. Trong nước bọt có chất Calci, Calci sẽ ngấm vào mảng bám răng tạo thành vôi răng. Vôi răng không thể đánh sạch với bàn chải và kem đánh răng thông thường, do đó các bạn cần định kỳ đến phòng khám Nha khoa lấy vôi răng 2 lần / năm.


