- Trang chủ | Kiến Thức Nha Khoa
Kiến Thức Nha Khoa

Ưu điểm của trồng răng bằng hàm tháo lắp
Ưu điểm lớn nhất của hàm tháo lắp, là rất ít xâm lấn, không phải phẫu thuật phức tạp như khi đặt Implant, hay mài răng như khi làm cầu răng. Và có thể làm xong chỉ trong 1 tuần!

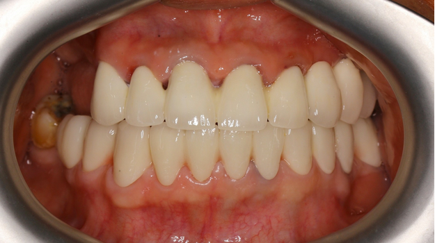
Một trường hợp phục hình răng sứ 2 hàm để ăn nhai và cải thiện thẩm mỹ
Do hàm trên mất răng nhiều, bệnh nhân lớn tuổi không phù hợp cấy ghép Implant, nên làm cầu răng sứ kim loại để chịu lực được tốt.
Làm răng sứ có bị đục hay nhìn "giả giả" không?
Nhiều bạn đã từng hỏi là răng sậm màu, làm răng sứ có bị đục hay nhìn "giả giả" không?
Có nên niềng răng, nhổ răng trước Tết không?
Giới bác sĩ chúng tôi thường bảo nhau: đừng có dại mà gắn mắc cài, nhổ răng trước Tết, nếu muốn được ăn Tết bình yên. Trong niềng răng, giai đoạn khó khăn nhất luôn là những ngày đầu tiên sau khi gắn niềng: ăn uống khó khăn, dây cung dài đâm rách môi má lưỡi, sút mắc cài,… có thể ảnh hưởng đến mức trầm trọng và bệnh nhân không thể ăn được.
Phục hồi răng bằng Inlay sứ EMAX
Một chiếc răng được trám lại, phục hồi lại tốt, sẽ giúp bạn ăn nhai tốt, vệ sinh dễ dàng, và mỗi sáng nhìn vào gương, sẽ thấy "vui vẻ" hơn rất nhiều!
Răng sứ có đổi màu sau một thời gian dài sử dụng không?
Bất cứ một vật liệu nào, ở trong môi trường "thay đổi pH xoành xoạch" như nước bọt, chịu tác động bởi đủ thứ thức ăn, nước uống "chua, cay, mặn, ngọt", khó mà cứ "mới tinh 100% như ban đầu" sau một thời gian dài sử dụng được!
Đi thật xa rồi cũng quay trở về để làm răng sứ
Nối tiếp câu chuyện bệnh nhân làm răng sứ tại nha khoa Lan Anh từ 13 năm trước, hiện tại sống ở xa, cũng đã đi nhiều nơi để làm răng sứ nhưng vẫn chưa ưng ý, nên quay lại nha khoa Lan Anh để làm lại!



